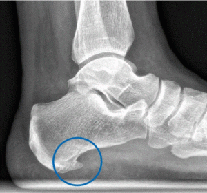
El espolón calcáneo es una formación ósea que aparece en la parte inferior del talón y que suele asociarse a dolor persistente al apoyar el pie. Aunque muchas veces se trata como una patología en sí misma, es en realidad una manifestación de otros procesos subyacentes. Comprender las causas del espolón calcáneo permite abordar esta dolencia desde su origen y no únicamente desde el síntoma.
En Taller Humano, centro de podología en Madrid, abordamos el dolor de talón desde una perspectiva biomecánica y funcional, valorando cada caso en profundidad para ofrecer un tratamiento adaptado a la causa real del problema.
Causas del espolón calcáneo: más allá del hueso
Sobrecarga crónica de la fascia plantar
Una de las principales causas del espolón calcáneo es la tensión mantenida en la fascia plantar. Esta estructura fibrosa actúa como un puente entre el calcáneo y los dedos, soportando cargas durante la marcha, la carrera o la bipedestación prolongada.
Cuando hay un exceso de tracción en su inserción en el talón —ya sea por sobrepeso, alteraciones biomecánicas o actividad deportiva intensa—, el organismo responde con la formación de tejido óseo adicional en la zona de inserción.
Disfunción biomecánica del pie
Alteraciones en la pisada, como la pronación excesiva o la rigidez de la cadena posterior, también contribuyen al desarrollo del espolón. En este contexto, un estudio de la pisada resulta fundamental para identificar desequilibrios y diseñar estrategias correctivas personalizadas.
Además, en casos con apoyo alterado, pueden ser útiles unas plantillas personalizadas o plantillas a medida que redistribuyan las cargas y reduzcan la tensión en la fascia plantar.
Factores asociados al desarrollo del espolón calcáneo
Cambios degenerativos con la edad
Con el paso del tiempo, los tejidos pierden elasticidad y capacidad de adaptación. Esto puede derivar en sobrecargas compensatorias en el talón, favoreciendo la aparición de espolones. No es raro encontrar personas mayores con formaciones óseas visibles en radiografías, aunque no siempre sean dolorosas.
Actividades deportivas o laborales intensas
El trabajo de pie, el uso de calzado inadecuado o la práctica deportiva con gestos repetitivos (como correr sobre asfalto o realizar saltos frecuentes) puede desencadenar sobrecargas en el talón y favorecer procesos inflamatorios crónicos que desencadenen el espolón.
En estos casos, la introducción de ejercicio terapéutico que mejore la flexibilidad de la fascia plantar, el control de la marcha y la activación muscular puede ser una herramienta muy útil dentro del tratamiento.
Tratamiento conservador y fisioterapia en el espolón calcáneo
En Taller Humano, tu centro de fisioterapia en Madrid, tratamos esta condición con un enfoque integrador que tiene en cuenta la causa estructural y el contexto funcional del problema.
Terapia miofascial y punción seca para aliviar la tensión
El tratamiento manual puede incluir terapia miofascial sobre la fascia plantar, el tríceps sural o la musculatura intrínseca del pie, así como técnicas de punción seca en puntos gatillo activos que contribuyen a la tensión en la zona. Estas técnicas reducen la irritación local y restauran el equilibrio de cargas en la fascia.
Plantillas y modificación del patrón de marcha
El uso de plantillas personalizadas forma parte del tratamiento de muchas personas con espolón calcáneo. Estas plantillas no solo ofrecen confort, sino que modifican la forma en que las fuerzas se distribuyen por el pie, ayudando a aliviar la presión en el talón.
Esto se acompaña siempre de un estudio de la pisada para garantizar que las medidas correctoras tienen sentido biomecánico. Puedes ampliar esta información en nuestro artículo sobre fascitis plantar y tendón de Aquiles, donde exploramos cómo se relacionan estos cuadros clínicos.
Preguntas frecuentes sobre el espolón calcáneo
¿El espolón es la causa del dolor?
No siempre. Muchas personas tienen espolones visibles sin dolor, mientras que otras tienen dolor sin presencia radiológica de espolón. Lo importante es identificar si la estructura está en fase inflamatoria o si es una secuela anatómica de una sobrecarga.
¿Desaparece el espolón con tratamiento?
El espolón no se reabsorbe, pero el dolor sí puede desaparecer por completo si se corrige la causa de la sobrecarga.
¿La cirugía es necesaria?
Solo en casos muy resistentes al tratamiento conservador. La mayoría de los casos mejora sin necesidad de intervención quirúrgica.
¿Qué calzado es recomendable?
Zapatillas con buena amortiguación, suela flexible y espacio suficiente para los dedos. Evitar el uso prolongado de zapatos planos o tacones altos.
Conclusión: detectar las causas del espolón calcáneo permite tratarlo con éxito
El espolón calcáneo no es un diagnóstico aislado, sino el reflejo de una sobrecarga mantenida en el talón. Identificar las causas del espolón calcáneo es clave para un tratamiento eficaz que vaya más allá del síntoma. Desde la evaluación biomecánica y el uso de plantillas personalizadas, hasta la aplicación de técnicas como la punción seca o la terapia miofascial, la fisioterapia tiene mucho que ofrecer para este problema tan frecuente. En Taller Humano, centro de podología en Madrid, podemos ayudarte a encontrar el origen y la solución real a tu dolor de talón.
Bibliografía
Chang R, Du J, Wang P, Zhu L, Sun Q, Liu J.
The plantar calcaneal spur: a review of anatomy, histology, etiology and key associations.
J Anat. 2017 Jun;230(6):695–708.
doi: 10.1111/joa.12649
PMID: 28369929





