Dolor anterior de rodilla: causas y abordaje desde la fisioterapia

El dolor anterior de rodilla es una de las molestias más comunes entre jóvenes activos, deportistas y personas que pasan largos periodos en posiciones de flexión mantenida. Esta dolencia puede estar asociada a múltiples factores, desde desequilibrios musculares hasta alteraciones biomecánicas, y una de sus causas frecuentes es la condromalacia rotuliana. En este artículo exploramos […]
Retorno venoso en piernas: cómo mejorarlo con fisioterapia

El retorno venoso en las piernas es un proceso esencial para la salud circulatoria. Cuando este sistema falla o se vuelve ineficiente, puede dar lugar a problemas como pesadez, hinchazón o incluso patologías venosas más serias. En este artículo revisamos el papel de los músculos como el sóleo y el gemelo en la circulación, las […]
Artrosis de cadera: cómo influye la pisada en su desarrollo

La artrosis de cadera es una de las causas más frecuentes de dolor y limitación de la movilidad en adultos. Aunque muchas veces se asocia a la edad o al desgaste natural, factores como la pisada y la biomecánica del pie tienen un papel clave en su aparición y progresión. En este artículo analizamos cómo […]
Dolor de cabeza cervicogénico: cómo abordarlo desde la fisioterapia

El dolor de cabeza cervicogénico es un tipo de cefalea que se origina en las estructuras del cuello y se manifiesta como dolor en la cabeza, a menudo confundido con migrañas o cefaleas tensionales. Su diagnóstico requiere una evaluación clínica detallada, y su tratamiento más eficaz suele encontrarse en el ámbito de la fisioterapia. Un […]
Dolor en el glúteo: ¿es ciática sin hernia?

El dolor en el glúteo que irradia hacia la pierna no siempre tiene su origen en una hernia discal. Muchas personas presentan síntomas similares a una ciática, pero sin lesiones evidentes en la columna lumbar. En estos casos, una causa frecuente es el atrapamiento del nervio ciático dentro del compartimento glúteo profundo, lo que se […]
Síndrome del desfiladero torácico: dolor y debilidad en el miembro superior

El síndrome del desfiladero torácico (TOS, por sus siglas en inglés) es una afección poco diagnosticada pero frecuente entre personas con trabajos sedentarios, deportistas overhead y quienes presentan alteraciones posturales. Se produce por la compresión de estructuras neurovasculares a su paso entre la base del cuello y la axila, lo que puede desencadenar síntomas como […]
Dorsiflexión del tobillo en running: clave biomecánica y prevención de lesiones

La movilidad del tobillo es una variable biomecánica fundamental en la carrera, especialmente en la fase de apoyo. El estudio de Rao et al. (2024) destaca cómo la dorsiflexión del tobillo en running afecta al movimiento global del miembro inferior y la pelvis, influyendo directamente en la aparición de lesiones por sobreuso, como la fascitis […]
Plantillas para dolor de rodilla: alivio eficaz y basado en evidencia

El dolor de rodilla es una de las quejas más frecuentes entre personas activas, deportistas y también en población general. En los últimos años, las plantillas para dolor de rodilla han cobrado protagonismo como tratamiento conservador de alta efectividad. Un estudio de Munuera et al. (2011) demostró su utilidad en el tratamiento del dolor patelofemoral, […]
Dolor lumbar running: cómo prevenirlo en corredores

El dolor lumbar en corredores es una molestia más común de lo que se cree, incluso en personas sin antecedentes previos. Según un estudio reciente publicado en Pain Research and Management (Wu et al., 2021), el dolor lumbar running afecta a un porcentaje significativo de maratonianos, y su aparición está relacionada con múltiples factores como […]
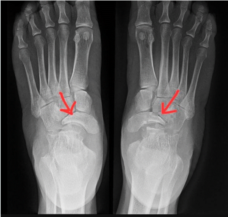
Barefoot running y fractura por estrés: impacto de la presión plantar

El barefoot running, o correr con calzado minimalista, ha ganado popularidad en los últimos años debido a sus supuestos beneficios sobre la técnica de carrera y la prevención de lesiones. Sin embargo, diferentes investigaciones han demostrado que esta práctica puede aumentar la presión plantar en la zona del antepié, elevando así el riesgo de sufrir […]
Periostitis tibial y tendón de Aquiles en corredores: importancia de la biomecánica

La periostitis tibial y las lesiones en el tendón de Aquiles son dos de los problemas más frecuentes en corredores de todos los niveles. Factores biomecánicos, como una técnica de carrera deficiente o desequilibrios musculares, pueden predisponer a sufrir estas patologías. La correcta evaluación y tratamiento desde la fisioterapia especializada permite no solo recuperar la […]
Entrenamiento de fuerza para mejorar la economía de carrera

El entrenamiento de fuerza ha demostrado ser una herramienta esencial para optimizar la economía de carrera y el rendimiento en corredores. Frente al mito de que solo los ejercicios de alta repetición y baja carga son beneficiosos para los runners, la ciencia actual respalda el trabajo de fuerza con cargas elevadas y baja repetición para […]