Tratar fascitis con electrolisis: evidencia y aplicación clínica

La opción de tratar fascitis con electrolisis ha ganado protagonismo en los últimos años como alternativa para casos persistentes de dolor plantar. La revisión sistemática de Augustyn y Paez (2022) evaluó la efectividad de la electrolisis percutánea intratisular (EPI) en diferentes tendinopatías, identificando mejoras significativas en dolor y funcionalidad. Aunque la investigación específica sobre fascitis […]
Fuerza y envejecimiento: lo que realmente funciona según la evidencia

La relación entre fuerza y envejecimiento es uno de los temas más relevantes en el ámbito de la salud actual. El declive natural de la masa muscular y la capacidad funcional en edades avanzadas supone un riesgo para la autonomía, la movilidad y la calidad de vida. El metaanálisis de Grgic et al. (2020) analizó […]
Dolor del cuadrado lumbar: qué revela la evidencia científica más reciente

El dolor del cuadrado lumbar es uno de los componentes menos comprendidos dentro del dolor lumbar crónico inespecífico, a pesar de que este músculo juega un papel clave en la estabilidad lumbopélvica. El reciente estudio de López-Redondo et al. (2025) analizó la rigidez del cuadrado lumbar mediante elastografía en personas con lumbalgia persistente, aportando datos […]
Evolución del latigazo cervical: qué revela la evidencia a largo plazo

La evolución del latigazo cervical es un aspecto clave para comprender por qué algunas personas desarrollan dolor crónico tras un traumatismo por aceleración–desaceleración, mientras que otras se recuperan completamente. El estudio de Park et al. (2023) analizó el pronóstico a 5 y 10 años en casos de latigazo cervical con dolor persistente, revelando que, lejos […]
Lesión de la polea A2 en escaladores: guía completa
La lesión de la polea A2 es una de las afecciones más frecuentes entre quienes practican escalada deportiva o recreativa, especialmente cuando se trabaja en arquear los dedos repetidamente. En Taller Humano, tu centro de fisioterapia en Madrid, estamos especializados en valorar este tipo de lesiones, ofreciendo tratamiento mediante técnicas como ejercicio terapéutico, terapia manual […]
Mejora postural con plantillas: cómo influyen las ortesis en la estabilidad

La mejora postural con plantillas es un tema cada vez más relevante en el ámbito clínico, especialmente en personas que presentan inestabilidad en bipedestación, inseguridad al caminar o sensación de desequilibrio. El estudio de Ma et al. (2018) analizó cómo las ortesis plantares pueden influir en el equilibrio estático en adultos mayores, demostrando beneficios significativos […]
Running barefoot: riesgos, adaptación y evidencia en superficies duras

El running barefoot ha ganado popularidad en los últimos años, especialmente en entornos urbanos donde cada vez más personas consideran correr o caminar con calzado minimalista. Sin embargo, el impacto del barefoot en superficies duras requiere una adaptación progresiva para evitar sobrecargas y lesiones, tal como señala la revisión sistemática de Hollander et al. (2017). […]
Polea A2 en escaladores: la lesión más frecuente en la escalada deportiva

La polea A2 en escaladores es una de las estructuras anatómicas que más sufre durante la práctica de escalada deportiva, especialmente en modalidades que implican agarres en arqueo. Esta lesión es particularmente común entre escaladores recreativos y profesionales, siendo responsable de buena parte de las lesiones de los dedos. Un estudio de Jones et al. […]
Lesiones en corredores recreativos: incidencia clave

El análisis de las lesiones en corredores revela que tanto quienes se inician como los que practican running de forma recreativa presentan un riesgo real de padecer problemas musculoesqueléticos. En Taller Humano, tu centro de fisioterapia en Madrid, trabajamos con corredores para prevenir y abordar estas molestias desde el primer síntoma. ¿Cuáles son las tasas […]
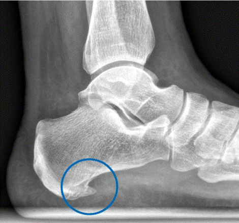
Dolor de talón neuropático: nervio de Baxter

El dolor de talón es una de las consultas más frecuentes tanto en fisioterapia como en podología. Si bien suele relacionarse con la fascitis plantar, existe una causa menos conocida que puede pasar desapercibida: la neuropatía del nervio de Baxter. Este nervio, cuando se ve comprimido, puede generar un dolor punzante en el talón que […]
Sóleo y lesión tibial: ¿una conexión silenciosa?

Entre las lesiones más comunes en corredores, el síndrome de estrés tibial medial ocupa un lugar destacado. Aunque múltiples factores pueden influir en su aparición, un estudio reciente ha arrojado nueva luz sobre la relación entre el sóleo y la lesión tibial, sugiriendo que una activación excesiva del sóleo durante la fase de apoyo en […]
Peroneos y esguince de tobillo: una relación clave

La relación entre los peroneos y el esguince de tobillo ha ganado protagonismo en los últimos años gracias a estudios que profundizan en los factores predisponentes de esta lesión frecuente, especialmente en deportistas. En Taller Humano, tu centro de fisioterapia en Madrid, abordamos este tipo de lesiones con una visión integral basada en evidencia científica […]