Pasos diarios y salud: cuántos necesitas según la ciencia

La relación entre los pasos diarios y salud ha sido objeto de debate científico durante décadas, especialmente desde que el popular objetivo de los 10.000 pasos diarios se instaló en el imaginario colectivo sin un respaldo científico sólido que lo justificara. ¿Es ese número correcto? ¿Hay un mínimo eficaz? ¿Más siempre es mejor? Un metaanálisis […]
Fractura de estrés del metatarsiano: biomecánica y prevención

La fractura de estrés del metatarsiano es una lesión por sobrecarga frecuente en deportistas, militares y cualquier persona sometida a un aumento brusco de la carga de impacto sobre el pie, y su incidencia ha crecido de forma paralela al auge del running y los deportes de alta demanda física. A diferencia de las fracturas […]
Terapia manual en tendinopatías: evidencia y abordaje multimodal

La terapia manual en tendinopatías ha sido durante años relegada a un papel secundario en los protocolos de tratamiento, donde el ejercicio terapéutico —especialmente el excéntrico— acaparaba prácticamente toda la atención clínica y científica. Sin embargo, una perspectiva clínica publicada en 2022 en el Journal of Manual and Manipulative Therapy por Jayaseelan, Sault y Fernández-de-las-Peñas […]
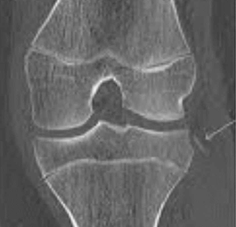
Tendinopatía rotuliana en deportistas: tratamiento y evidencia

La tendinopatía rotuliana en deportistas es una de las lesiones por sobrecarga más frecuentes y limitantes en los deportes que implican saltos repetitivos, como el baloncesto, el voleibol, el atletismo de saltos o el fútbol. Conocida popularmente como «rodilla del saltador», esta patología afecta al tendón rotuliano en su inserción en el polo inferior de […]
Ejercicio multicomponente en mayores: movilidad y evidencia

El ejercicio multicomponente en mayores se ha consolidado como la estrategia de intervención física más eficaz para combatir el deterioro funcional asociado al envejecimiento, especialmente en personas institucionalizadas que presentan mayores niveles de sedentarismo y fragilidad. Frente a los programas de ejercicio monotemáticos, que trabajan exclusivamente la fuerza o el equilibrio de forma aislada, el […]
Lesiones en corredores populares: fuerza y prevención

Las lesiones en corredores populares son uno de los motivos de consulta más frecuentes en fisioterapia deportiva, y paradójicamente uno de los más prevenibles. El running ha experimentado un crecimiento exponencial en los últimos años, con millones de personas incorporando la carrera a su rutina de ejercicio sin una preparación física complementaria adecuada. Esta combinación […]
Entrenamiento basado en velocidad: fuerza y potencia explosiva

El entrenamiento basado en velocidad representa una de las innovaciones más relevantes en el campo del acondicionamiento físico y la rehabilitación deportiva de los últimos años. Frente al enfoque tradicional del entrenamiento de fuerza, que prescribe la carga en función de un porcentaje fijo del máximo de una repetición (1RM), este método utiliza la velocidad […]
Mecanorreceptores plantares y equilibrio: plantillas y ciencia

Los mecanorreceptores plantares y equilibrio forman una relación fisiológica fundamental que durante años ha sido subestimada en la práctica clínica de la podología y la fisioterapia. La planta del pie no es simplemente una superficie de apoyo: es uno de los órganos sensoriales más ricos del cuerpo humano, con una densidad de mecanorreceptores que permite […]
Rehabilitación vestibular periférica: ejercicio y evidencia

La rehabilitación vestibular periférica es una de las intervenciones fisioterapéuticas con mayor respaldo científico en el tratamiento del mareo, el vértigo y las alteraciones del equilibrio de origen vestibular, y sin embargo sigue siendo una disciplina poco conocida entre los pacientes y, en ocasiones, infrautilizada en la práctica clínica. Muchas personas con hipofunción vestibular periférica […]
Disfunción temporomandibular y postura: una relación probada

La disfunción temporomandibular y postura forman un binomio clínico cada vez más respaldado por la evidencia científica y cada vez más presente en la consulta de fisioterapia. Durante años, los trastornos de la articulación temporomandibular (ATM) se trataron de forma exclusiva en el ámbito odontológico, sin considerar su relación con el resto del aparato locomotor. […]
Elevador de la escápula: puntos gatillo y cervicalgia crónica

El elevador de la escápula es uno de los músculos más frecuentemente implicados en el dolor cervical crónico y, sin embargo, uno de los menos identificados correctamente por los propios pacientes. Su localización profunda en la región lateral del cuello, su patrón de dolor referido hacia el ángulo superior de la escápula y la facilidad […]
Parálisis del nervio peroneo: causas, diagnóstico y tratamiento

La parálisis del nervio peroneo es la neuropatía compresiva más frecuente del miembro inferior, y sin embargo sigue siendo una de las entidades más infradiagnosticadas en la consulta de fisioterapia y neurología. Su manifestación más característica, el pie caído, genera una alteración del patrón de marcha que aumenta significativamente el riesgo de caídas y compromete […]